微信掃描二維碼,點擊右上角 ··· 按鈕
轉發給朋友或分享到朋友圈
顯微成像·洞察微觀之美
Microscopic imaging, insight into the beauty of micro
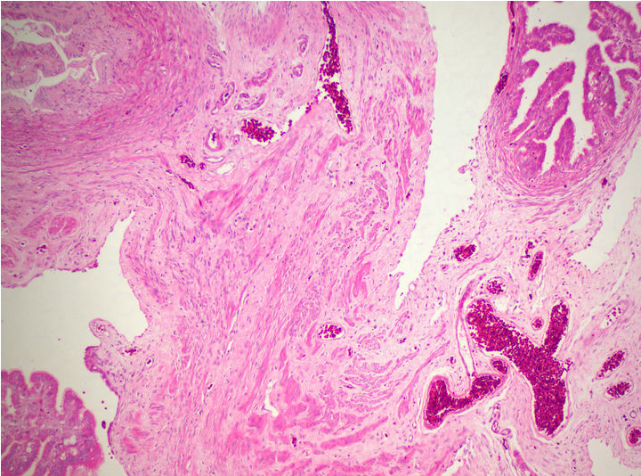
生物顯微鏡下的卵巢病理切片
發布時間:2025-11-19
訪問量:65
生物顯微鏡下的卵巢病理切片
病理切片是病理科醫生確診病癥的重要工具,觀察病理切片一般使用生物顯微鏡明場觀察,一款好的病理切片顯微鏡,不僅要求使用舒適,還要成像清晰。在生物顯微鏡ML31的觀察下,經過HE染色的卵巢切片呈粉紅色,并呈現出豐富而復雜的細節。

卵巢,作為女性生殖系統的重要器官,負責產生卵子和分泌性激素。透過生物顯微鏡ML31,我們可以看到許多不同種類的細胞。其中較突出的是卵原細胞,這是卵巢中產生卵子的母細胞。在染色切片中,卵原細胞呈現出較大的體積和較深的染色,與其他細胞有所區別。

通過生物顯微鏡ML31觀察卵巢染色切片,我們可以了解卵巢的基本結構和功能。這不僅有助于我們對生殖系統的理解,也為研究卵巢疾病的病因、病理和治療方法提供了重要依據。

明美生物顯微鏡ML31是一款無限遠獨立消色差的正置顯微鏡,采用大視野高眼點目鏡、平場消色差物鏡、長壽命LED科勒照明等設計,具有豐富的擴展潛力,適合病理觀察、生物切片觀察、細菌觀察、中藥鑒定等應用。
免責聲明
本站無法鑒別所上傳圖片、字體或文字內容的版權,如無意中侵犯了哪個權利人的知識產權,請來信或來電告之,本站將立即予以刪除,謝謝。
微信掃描二維碼,點擊右上角 ··· 按鈕
轉發給朋友或分享到朋友圈